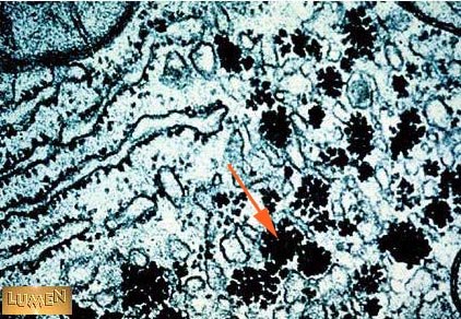
What are the clumps of dark material indicated by the arrow?
Answer
Glycogen