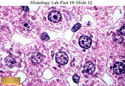
What is the dominant cell type in this field?
Answer
hepatocyte (liver)