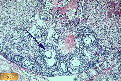
Name the indicated structure, be specific.
Answer
Antrum of follicle