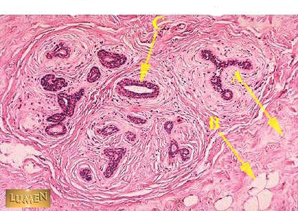
Q1 Identify tissues at tip of arrows 'a' and 'b'.
Q2 What structure is indicated by arrow 'c'?
Answer 1
Dense connective tissue and adipose
Answer 2
Intralobular duct