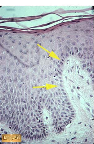
What layer of epithelium does the pointer describe?
Answer
Basal