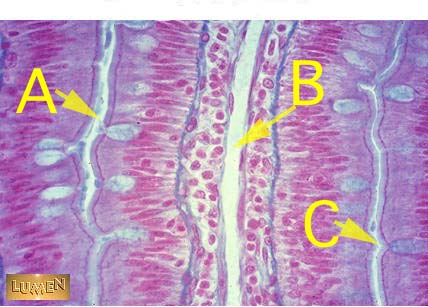
Where is the surface of the lining columnar cells, 'A', 'B', or 'C'?
Answer
A & C