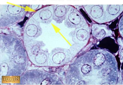
What kind of epithelium is this?
Answer
Simple cuboidal