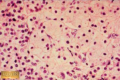
What two cell types predominate in this tissue section.
Answer
Chief cells, Oxyphil cells
(Hint:this is the parathyroid)