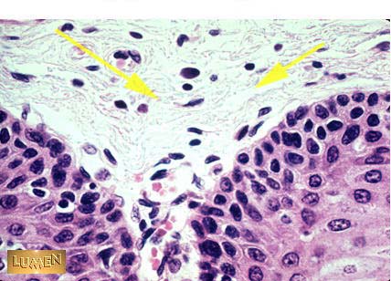
What is the identified tissue?
Answer
Loose Irregular Connective Tissue (Areolar Tissue)