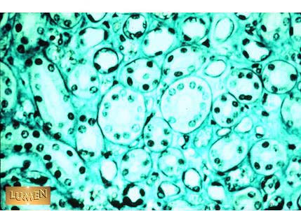
In this slide, what cells produce reticular fibers?
Answer
Fibroblasts (this is the kidney)