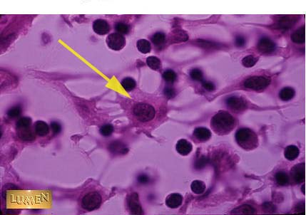
What kind of cell is this?
Answer
stellate reticular cell