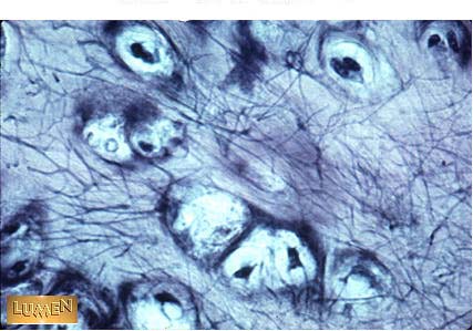
What kind of cartilage is this?
Answer
Elastic cartilage