Identify
Answer
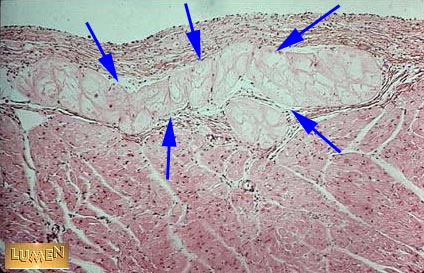
Purkinje Fibers