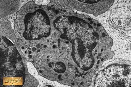
Q1 What is the name of this cell?
Q2 What are the dark staining vesicles in its cytoplasm called?
Answer 1
Neutrophil (notice its multi-lobed nucleus)
Answer 2
Lysosomes