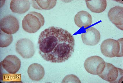
Name a surface markers on this cell.
Answer
Eosinophil chemotactic
factor(ECF) receptor.