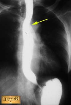
What causes the constriction?
Answer
Arch of the aorta.