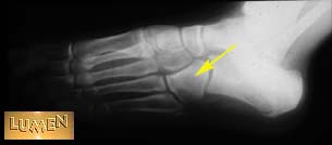
Question: Identify.
Answer
Cuboid.