Question: Identify.
Answer
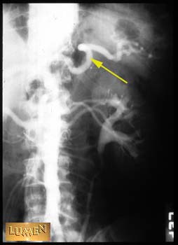
Splenic artery.