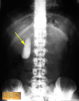
Question: Identify.
Answer
Gall bladder.