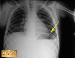
Question: Identify line.
Answer
Left diaphragm.